5月19日,淄博市第四人民医院联合山东卓业电子科技有限公司,在工业级3D打印联合穿刺模板的精准引导下,对一名患有右脑恶性肿瘤的女性患者施行了颅内植入放射粒子的治疗,并达到了术前计划的治疗效果。
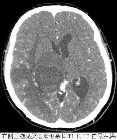
患者于2016年7月无明显诱因出现头晕不适,伴双下肢乏力、食欲不振,无明显头痛、头胀,无恶心、呕吐等不适,就诊于当地医院,行颅脑CT检查,提示颅脑占位。后患者转诊于山东省立医院,于2016-07-13行颅脑强化MRI检查,提示右侧丘脑见类圆形混杂长T1长T2信号肿块,大小约3.4X3.3X2.8cm,内部信号欠均匀,弥散受限,增强扫描肿块明显环状强化,局部呈结节样改编。影像学诊断:符合右侧丘脑恶性肿瘤MR表现,考虑胶质母细胞瘤可能大。后患者曾就诊于天坛医院,建议手术。患者家属考虑手术创伤较大,不同意手术治疗。
右侧基底节区可见一囊状低密度肿物,可见囊壁环状及小结节样强化,囊灶最大截面约4.1cmx3.0cm,其上方实质内见散在金属粒子显示,肿块周围大片不规则低密度区,右侧脑室及中脑导水管受压、变形,中线结构向左侧移位,脑室系统部分增宽;与(2017-3-10CT)对照肿块囊性部分及水肿范围较前略增大。
放射科宓主任医疗团队使用卓业科技的3D治疗系统(ZOYE-3DMS V1.0)设计出符合患者病情的个体化穿刺方案,并在3D打印联合模板的精准定位引导下,通过穿刺针道的均匀分布和放射剂量合理选择,为患者实施的手术达到了非常理想的治疗效果。
3D打印技术又叫做快速成型技术,可以在短时间内完成原型设计的制造,这在视时间为生命的医疗领域有着天然的契合。山东卓业电子科技有限公司自主研发的3D治疗系统(ZOYE-3DMS V1.0)是涵盖了模板设计、影像检视、自动三维数据建模、3D打印、数据传输和数据安全等功能一体化的先进系统。该系统为临床医生设计手术方案、提高治疗效果等提供了强有力在支撑。
在3D打印联合模板辅助下的粒子治疗手术,在短时间内就完成了整个手术过程,并达到了预期的治疗效果。这减少的是手术时间,是病人更少的伤痛,增加的是更理想的疗效,和更有把握的责任感。高新技术在更加开放纳新的团队中必将带来更高的效率和可能!
