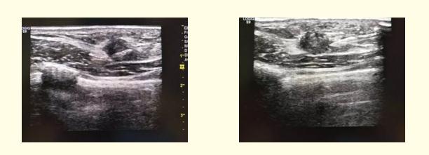
近日,彩超室成功为一患者实施了乳腺占位穿刺活检术,经病理证实为浸润性导管癌Ⅱa期。
该患者为老年女性,查体发现右侧乳腺占位,来到我院就诊治疗,行超声检查,超声报告为:右侧乳实性占位BI—RADS 4b类(高度怀疑恶性病变)。建议行乳腺穿刺活检以确定诊断及分期。彩超室邵宏增主任和高珊珊医师在超声引导下,为该患者实施了乳腺穿刺活检术,超声全程精确定位引导,手术顺利。病理结果:右侧乳腺侵润性导管癌Ⅱa期。明确诊断,可为临床选择更合理的系统治疗方案。
为充分发挥我院设备和技术优势,提高我院综合诊疗水平,本着以患者为中心,服务于临床的宗旨,彩超室将全面开展介入性超声这一新技术、新业务。先期开展的项目包括:超声引导下浅表肿物穿刺活检术;超声引导下淋巴结穿刺活检术;超声引导下胸腔、腹腔穿刺及置管引流术;心包穿刺术;超声引导下肝囊肿、肾囊肿抽液硬化治疗等。
彩超室成功完成首例超声引导下乳腺占位穿刺活检术,标志着淄博市第四人民医院的介入性超声进入实质性发展阶段,并为广大患者提供精确的微创治疗等前沿医学服务。
