“鸽子蛋”不“易”而飞,这是怎么回事?原来“鸽子蛋”指的是胆管内的结石,大小足足有”鸽子蛋”那么大,这么大的结石在临床中实属罕见,怎么才能把它取出来呢?这还得从前几天市第四医院肿瘤五科朱亮副主任医师做的一个胆结石病例说起。
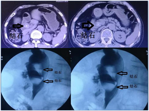
65岁的荣女士十年前因胆囊结石、胆总管结石行胆囊切除并胆总管取石术,术后恢复良好。近几天来,荣女士感觉右上腹疼痛,疼痛越来越重,不能忍受,就诊于当地医院,CT检查显示:肝总管2枚2.5cm大小的结石。因荣女士以前做过外科取石手术,术后粘连瘢痕形成,胆总管远端狭窄,再次开刀手术风险性高、粘连伤口不易愈合,易发生胆漏,而被放弃外科手术治疗。荣女士及家人为此焦急万分,四处打听有无更好治疗方法。经多方面咨询后,听说介入治疗不用开刀,伤口只有针眼大,能取胆总管内结石,于是找到了取石经验丰富的朱亮副主任医师,并进行会诊,会诊结果:可以行介入取石。





因结石比较巨大,因此治疗起来比较困难,两块结石上下重叠,给抓捕带来困难。首先先使两块石头分离,逐个将其抓捕并粉碎。其次再将粉碎的结石推入肠道,又因为患者以前做过手术,胆总管远端粘连狭窄,结石只有粉碎到足够小才能被推到肠道,又给手术增加了难度。朱亮副主任医师、王宏学主治医师联合应用多种介入技术,将结石推入肠道,术后患者恢复良好,得到了患者及家属的高度评价。
