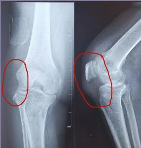
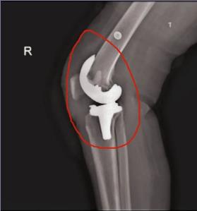
近日淄博市第四人民医院骨二组成功为一例类风湿性关节炎患者成功实施关节置换术。患者因类风湿性关节炎,多年来膝关节不能伸直,关节反复肿胀,行走受限,疼痛无时无刻不在折磨着他,不仅无法工作并且严重影响生活质量。患者入院后,骨科手术团队仔细为患者行体格检查,制定详细的手术方案,术后在骨二组医护人员的精心治疗和护理下,术后五周,患者的双膝基本活动自如。



类风湿性关节炎是一种以关节病变为主的慢性全身自身免疫性疾病。主要临床表现为小关节滑膜所致的关节肿痛,继而软骨破坏、关节间隙变窄,晚期因严重骨质破坏、吸收导致关节僵直、畸形、功能障碍。在我国类风湿性关节炎的患病率为0.24-0.5%,女性多于男性,约2-3:1,任何年龄均可发病,以20-50岁最多。本病多为一种反复发作性疾病,致残率较高。
随着我国人口老龄化的进程,各类膝关节疾患的发病率呈逐年递增趋势,但在患者看来,膝关节置换手术是“换骨”的大手术,排斥手术,到处寻医问药、保守治疗,钱没少花,罪没少受,大部分患者在病痛忍无可忍的时候,在膝关节已经严重畸形的情况下,才考虑行关节置换手术,不仅增加了手术的难度,也增加了手术后远期疗效的不确定性。
膝关节置换手术对晚期大关节畸形和功能障碍的患者行关节置换手术治疗是最终有效恢复正常生活及提高生活质量的有效治疗手段。
与您了解
骨科二组主要从事髋、膝关节置换术,关节、脊柱的微创关节镜治疗。骨肿瘤的综合治疗、创伤骨折、运动损伤的微创治疗,神经相关损伤的诊断治疗。腰腿疼痛及拇外翻,腰椎间盘突出的消融,膝关节骨性关节炎PRP治疗。
联系方式:王宁副主任15550337859